Accessible Version
Keith Bracy, DDS Dentistry
A Great Dentist

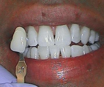
Smile Gallery: KöR Teeth Whitening

Even if you already know you need to make some changes to your smile, you may have trouble picturing exactly how those changes will affect the appearance. You can be assured that Dr. Keith Bracy will work closely with you to find the best possible solution - one that leaves you with a beautiful smile and healthier teeth. 

If you would like to get an idea of some of the types of dental work we do and the results we achieve, please take a look through our smile gallery, then give us a call so we can get started!

Ready to book an appointment?
Jon R.

The entire staff is super friendly and accommodating. When I ask them for their genuine opinions and professional advice, they're honest and always give me alternatives if I don't feel comfortable with something. Dr. Bracy is so warm and welcoming and makes me feel like we're old friends even though I'm a new patient. Also being able to watch HGTV during my cleaning was awesome and relaxing. I'm recommending to everyone!

If you have difficulty using our website, please email us or call us at (212) 390-8399
View the ADA Accessibility Statement