Accessible Version
Keith Bracy, DDS Dentistry
A Great Dentist

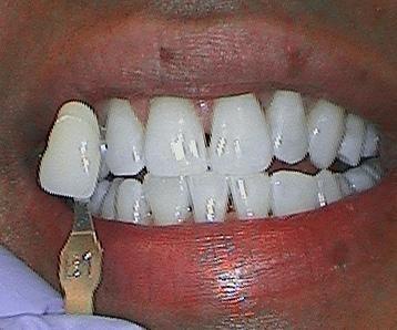
Kor Whitening Max System results

Treatment included fabrication of Kor-seal whitening trays, used nightly for two weeks, followed by an in-office Kor MAX whitening session

Related Services:

KöR Teeth Whitening
Jon R.

The entire staff is super friendly and accommodating. When I ask them for their genuine opinions and professional advice, they're honest and always give me alternatives if I don't feel comfortable with something. Dr. Bracy is so warm and welcoming and makes me feel like we're old friends even though I'm a new patient. Also being able to watch HGTV during my cleaning was awesome and relaxing. I'm recommending to everyone!

Ready to book an appointment?
If you have difficulty using our website, please email us or call us at (212) 390-8399
View the ADA Accessibility Statement